3M LAVA 全瓷冠,重建上顎左側正中門牙

全瓷牙冠
全瓷牙冠

3M LAVA 全瓷冠,重建上顎左側側門牙

全瓷牙冠
全瓷牙冠

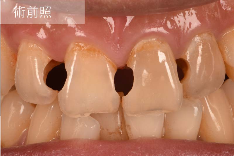
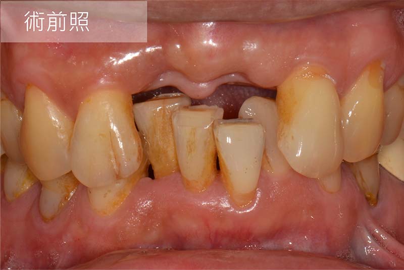
3M LAVA 全瓷冠,重建上顎四顆門牙

全瓷牙冠
全瓷牙冠

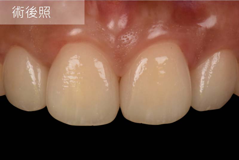
3M LAVA 全瓷冠,重建上顎四顆前牙

全瓷牙冠
全瓷牙冠

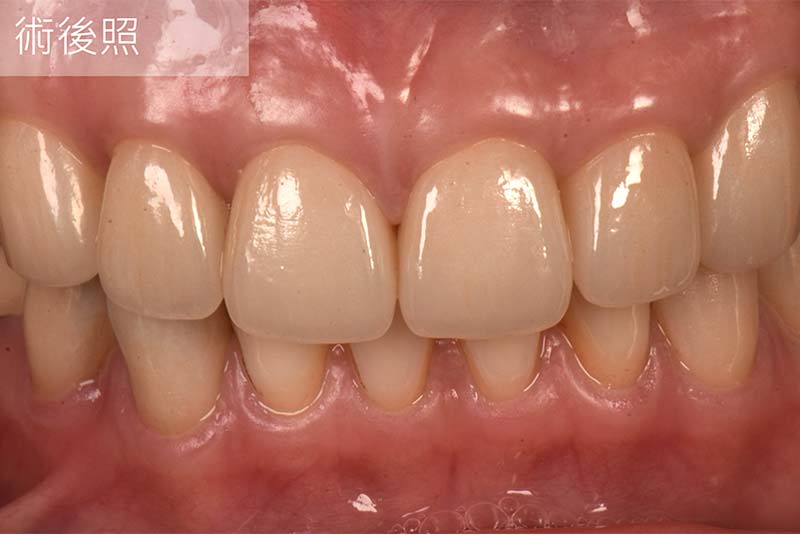
3M LAVA 全瓷冠,重建上顎六顆前牙

全瓷牙冠
全瓷牙冠

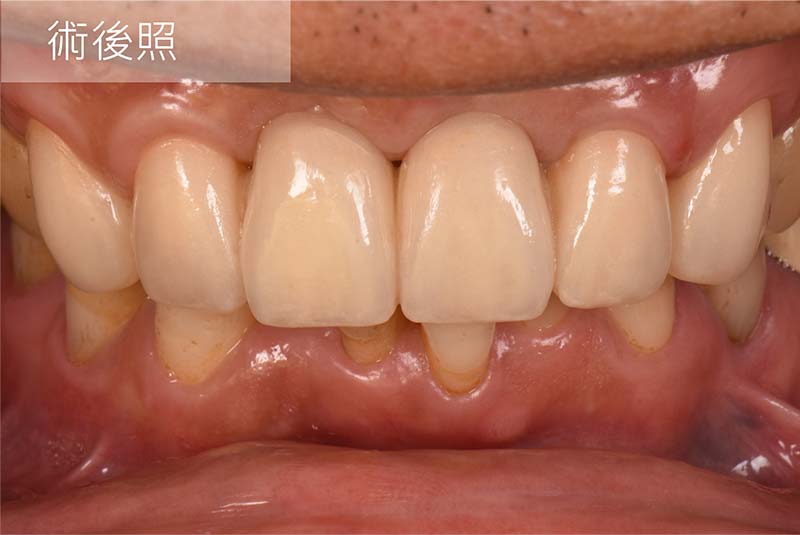
3M LAVA 全瓷冠,以牙橋方式重建上顎六顆前牙

全瓷牙冠
全瓷牙冠

聲明:本所療程皆由專業醫生評估後,依照個人口腔狀況進行治療。因每位患者個別狀況不同,術後狀況也不盡相同,需親來本所由醫生評估。

關閉