陶瓷嵌體,重建廣泛性蛀牙的下顎第二大臼齒

陶瓷嵌體
陶瓷嵌體

陶瓷嵌體,重建廣泛性蛀牙的下顎第二大臼齒

陶瓷嵌體
陶瓷嵌體

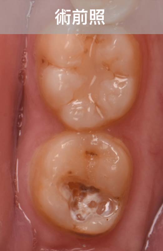
陶瓷嵌體,重建廣泛性蛀牙的下顎第一及第二大臼齒

陶瓷嵌體
陶瓷嵌體

聲明:本所療程皆由專業醫生評估後,依照個人口腔狀況進行治療。因每位患者個別狀況不同,術後狀況也不盡相同,需親來本所由醫生評估。

關閉