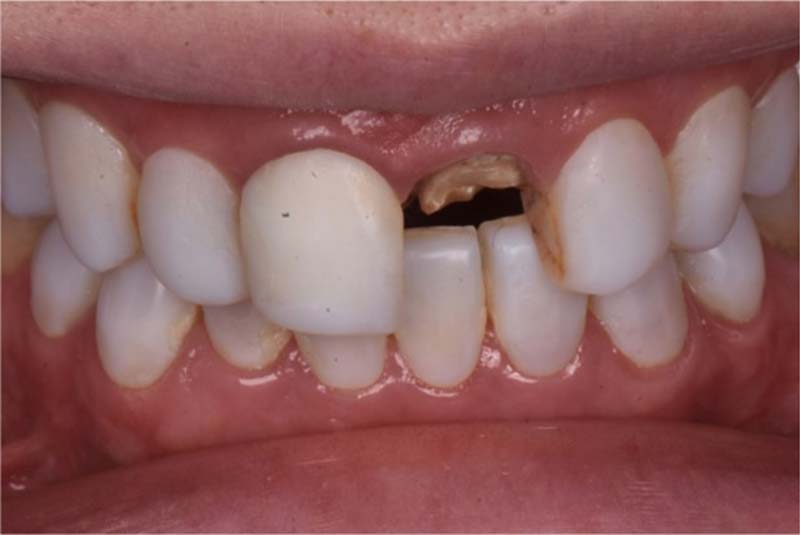
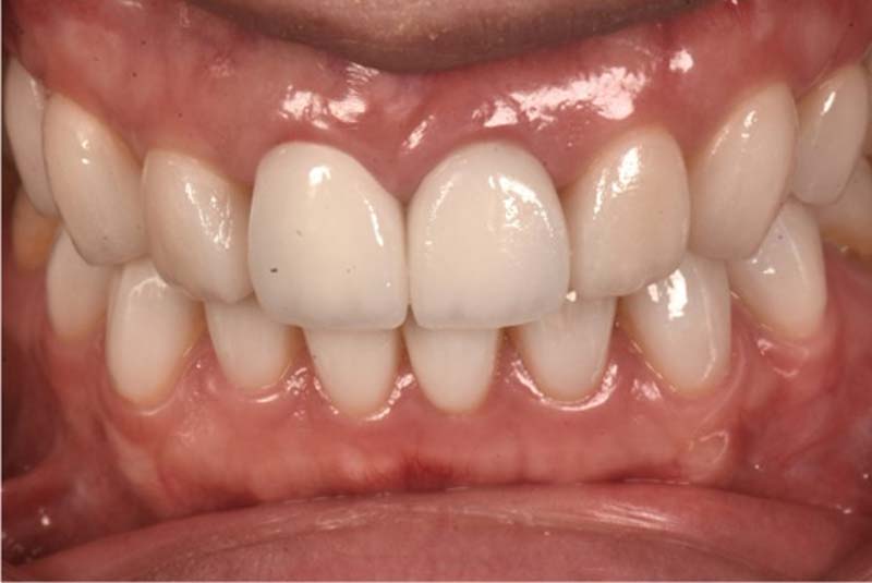
以美學貼片重建上下顎門牙,解決在他處錯誤施作的貼片,恢復天然齒色

美學貼片
美學貼片

以美學貼片重建,仍有神經活性的外傷左上正中門牙

美學貼片
美學貼片

以美學貼片重建下顎門牙,解決牙縫黑三角問題

美學貼片
美學貼片

聲明:本所療程皆由專業醫生評估後,依照個人口腔狀況進行治療。因每位患者個別狀況不同,術後狀況也不盡相同,需親來本所由醫生評估。

關閉